102821 Views |
 
                    

ทำไมต้องตรวจอัลตร้าซาวด์มดลูก – รังไข่?
การตรวจอัลตร้าซาวด์มดลูกและรังไข่ เป็นการตรวจทางนรีเวชที่สำคัญ
โดยใช้เครื่อง Ultrasound เพื่อช่วยวินิจฉัยโรคและประเมินความผิดปกติในอวัยวะภายใน
✅ ใช้ในการคัดกรองและวินิจฉัยภาวะ PCOS (ถุงน้ำในรังไข่หลายใบ)
✅ ตรวจลักษณะ มดลูก รังไข่ เยื่อบุโพรงมดลูก ว่ามีความผิดปกติหรือไม่
✅ ใช้ติดตามผลการรักษาโรคทางนรีเวช เช่น ซีสต์ เนื้องอก หรือภาวะมีบุตรยาก
 
ตรวจสุขภาพผู้หญิง เพื่อประเมินความสมบูรณ์ของ มดลูก และรังไข่

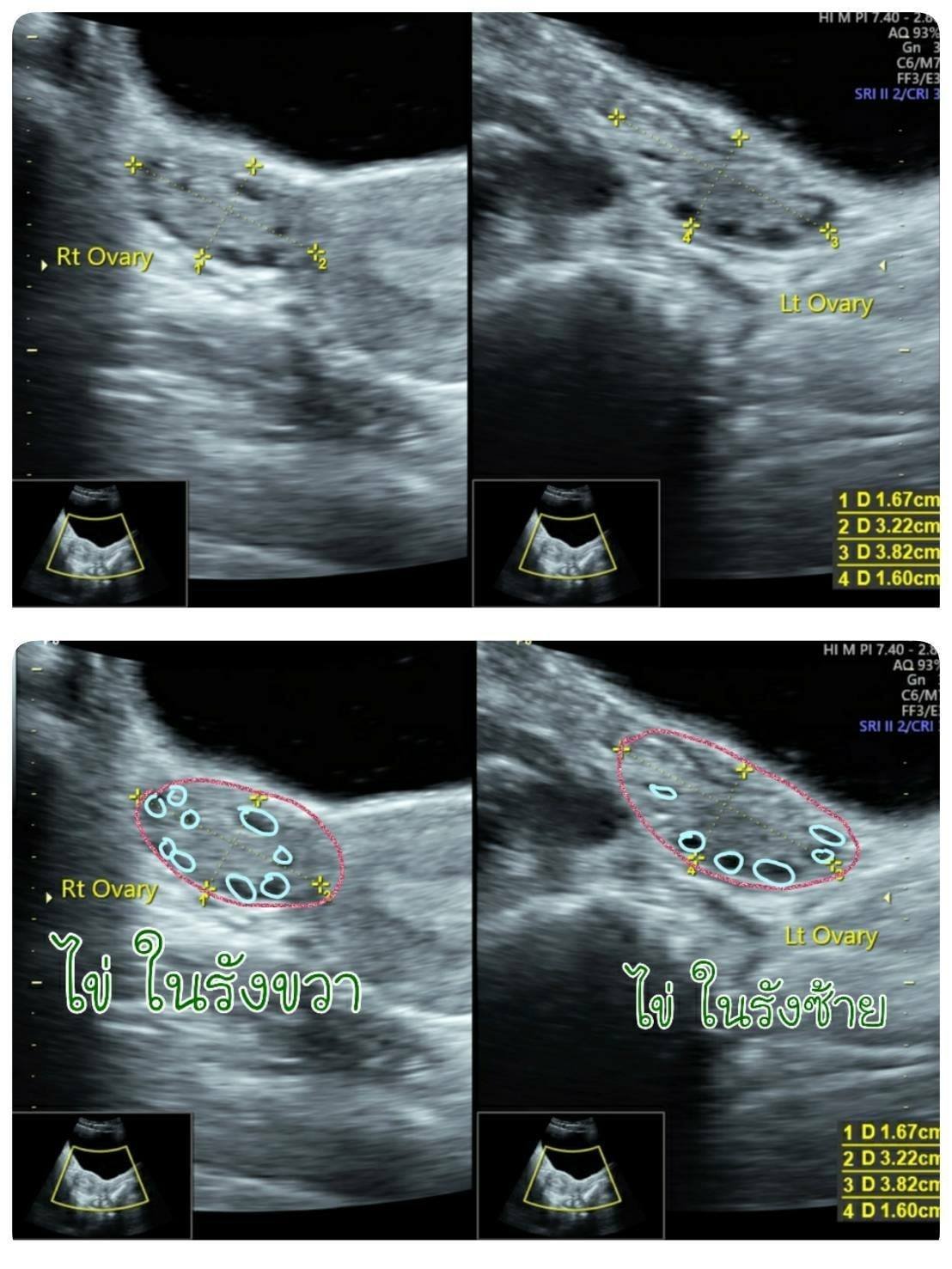
ภาพตรวจอัลตร้าซาวด์รังไข่ผ่านทางหน้าท้อง
ตรวจหาเนื้องอก ถุงซีสต์ วัดขนาดรังไข่ ประเมินไข่ในรังไข่
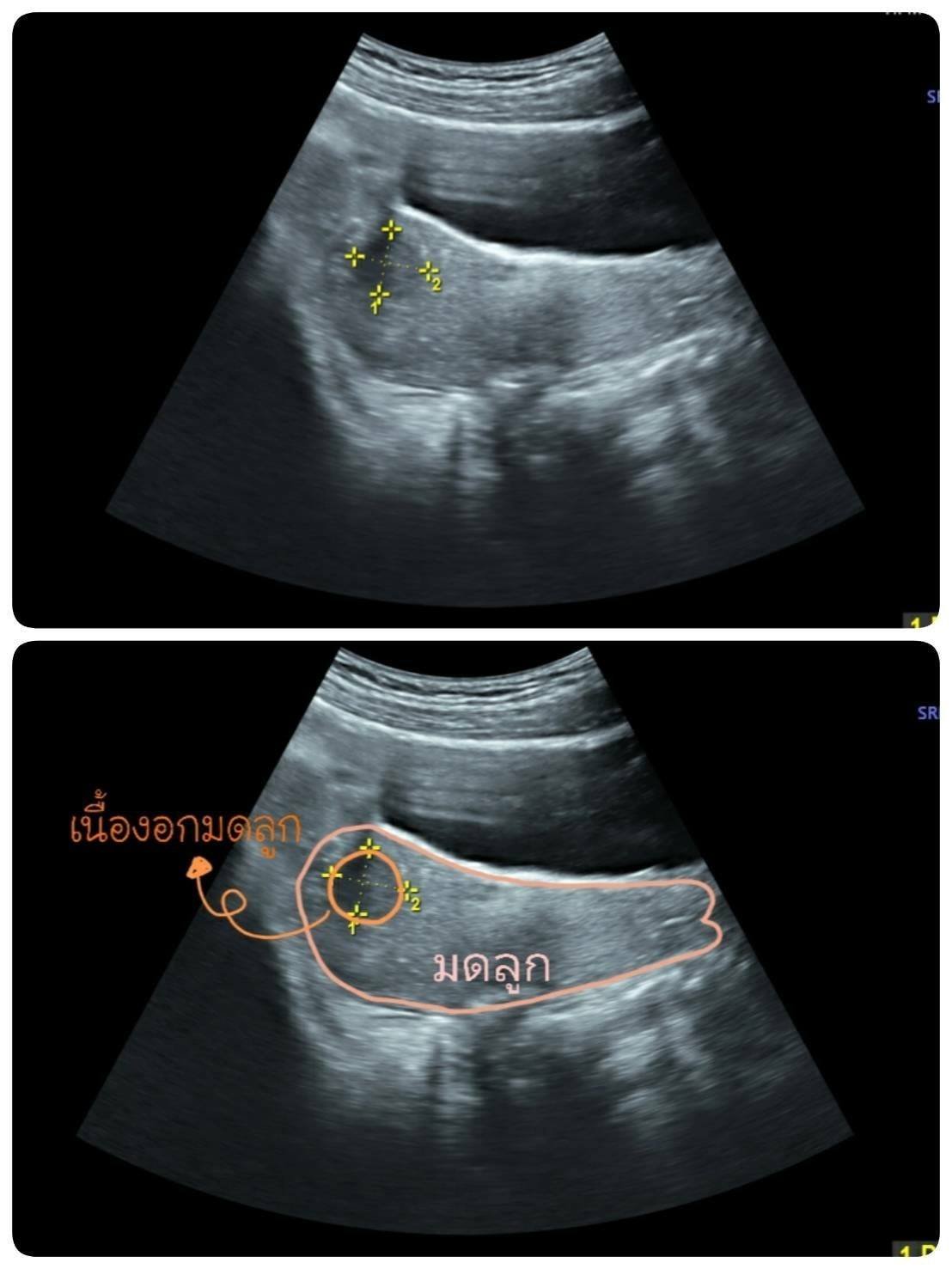
 ภาพตรวจอัลตร้าซาวด์มดลูก ผ่านทางหน้าท้อง
ภาพตรวจอัลตร้าซาวด์มดลูก ผ่านทางหน้าท้อง
ตรวจหาเนื้องอก ถุงซีสต์ วัดขนาดมดลูก

ก้อนเนื้องอกมดลูกที่ตรวจพบจากการอัลตร้าซาวด์ผ่านทางหน้าท้อง 

วิธีการตรวจ มี 2 วิธี

 
Ultrasound ช่องท้อง vs ช่องคลอด – แตกต่างอย่างไร ?
ตรวจอัลตร้าซาวด์ผ่านทางหน้าท้อง สำหรับสาวๆที่ยังไม่พร้อมตรวจภายใน เป็นการตรวจอัลตร้าซาวด์ เพื่อตรวจสุขภาพสตรี และวินิจฉัยอาการผิดปกติเกี่ยวกับมดลูก และรังไข่
โดยวิธีนี้อาจตรวจได้ไม่ครบทุกระบบของสาวๆ แต่ก็เพียงพอต่อการวินิจฉัยโรคเพื่อประเมินการรักษาได้
ตรวจอัลตร้าซาวด์ผ่านทางช่องคลอด เป็นการตรวจพร้อมการตรวจภายใน สามารถตรวจได้หลากหลายพร้อมกัน เช่น ตรวจคัดกรองมะเร็งปากมดลูก ตรวจหาเชื้อ HPV ตรวจหาเชื้อโรคติดต่อทางเพศสัมพันธ์
 



ราคาตรวจอัลตร้าซาวด์มดลูกและรังไข่ ปี 2025
อัพเดตราคา การตรวจคัดกรองภาวะ PCOS
อัพเดตราคา การตรวจประจำเดือนมาผิดปกติ
 
สอบถามรายละเอียดเพิ่มเติม | นัดคิวเข้ารับบริการ
รับคำแนะนำการตรวจสุขภาพ กับที่ปรึกษาสุขภาพผู้หญิง
LINE @cmc.clinic | CMC-ศูนย์สุขภาพผู้หญิง